Найти
Ру
Укр
Найти
Ру
Укр
Рубрики
Новости
Война в Украине
Политика
Экономика
Общество
Происшествия
Спорт
Шоу-биз
Пресс-центр
Спецпроекты
Архив номеров
Спец. темы
Вакцинация
Карантин
Рынок труда
Интервью
История
Прогнозы и гороскопы
Спецпроекты
Реклама на сайте
О нас
Пользовательское соглашение
Политика конфиденциальности
Политика использования cookies
Новости
Война в Украине
Политика
Экономика
Общество
Происшествия
Спорт
Шоу-биз
Больше
Пресс-центр
Спецпроекты
Архив номеров
За последние 24 часа
20 января
22:12
Двигаемся вперед. Не могу сказать, что завтра точно будет мир, - Буданов о мирных переговорах
21:10
Закарпатье всколыхнуло землетрясение, толчки зафиксировали вблизи Мукачево
20:34
В Киеве более миллиона потребителей остаются без света, тысячи домов без тепла, - Зеленский
20:02
Против блогера Петрова возбудили уголовное дело по статье о госизмене, - СМИ
19:20
Россияне атаковали беспилотниками Запорожье, погибли три человека
18:54
Украинца Середу признали лучшим спортсменом Европы в прыжках в воду в 2025 году
18:42
Ukrainian Fashion Week перенесли на март из-за сложной ситуации со светом
18:15
В «Совет мира» по подписке за миллиард: альтернатива ООН от Трампа или «развод» на деньги
18:15
Порошенко и Коломойский создали союз, чтобы, расшатывая страну, спастись от тюрьмы, — эксперт
17:51
Энергетики восстановили электроснабжение ЧАЭС, радиационный фон в пределах нормы
17:46
Зеленский назначил экс-министра Кубракова советником по инфраструктуре
17:27
После атаки на Киев Верховная Рада осталась без света, воды и тепла
Загрузить еще
Главная
Происшествия
Что в мире творится
Что в мире творится
0
Новым премьер-министром Палестины стал ректор университета Рами Хамдалла
0
2 июня 2013
Происшествия
В Чехии введен режим Чрезвычайного положения
0
2 июня 2013
Происшествия
Демонстрантов в Турции разогнали слезоточивым газом
0
2 июня 2013
Происшествия
В Оклахоме во время съемок урагана погибла целая съемочная группа
0
2 июня 2013
Происшествия
В Стамбуле снова начались массовые беспорядки
0
2 июня 2013
Происшествия
Наводнение в Чехии: есть жертвы
0
2 июня 2013
Происшествия
Наводнение в Германии: вода в Дунае уже поднялась почти на 9 метров
0
2 июня 2013
Происшествия
Исламисты угрожают убить принца Гарри: спецслужбы усилили его охрану
0
2 июня 2013
Происшествия
Стрельба на границе Сирии с Ливаном: есть погибшие
0
2 июня 2013
Происшествия
В Египте извинились перед задержанными за съемку порно грузинками
0
2 июня 2013
Происшествия
Наводнение в Праге: население срочно эвакуируют
0
2 июня 2013
Происшествия
Филиппины снова трясет: десятки домов разрушены, есть раненые
0
2 июня 2013
Происшествия
Очередной теракт в Сирии унес жизни восьми человек
0
2 июня 2013
Происшествия
На египетском курорте задержали грузинских туристов, снимавших порнофильм
0
1 июня 2013
Происшествия
Сербские выпускники отказались от покупки праздничных нарядов в пользу благотворительности
0
1 июня 2013
Происшествия
Массовые беспорядки в Стамбуле: с парка, за который борются демонстранты, сняли оцепление
0
1 июня 2013
Происшествия
Со стамбульского парка, за который борются демонстранты, сняли оцепление
0
1 июня 2013
Происшествия
В Турции поджигают офисы правящей партии
0
1 июня 2013
Происшествия
Массовые беспорядки из Стамбула распространились почти по всей Турции
0
1 июня 2013
Происшествия
Премьер-министр Турции отказался выполнять требования протестующих
0
1 июня 2013
Происшествия
Более десятка ракет, выпущенных из Сирии, разорвались на востоке Ливана
0
1 июня 2013
Происшествия
Стихийные бедствия нанесли в прошлом году человечеству ущерб на 170 миллиардов долларов
0
31 мая 2013
Происшествия
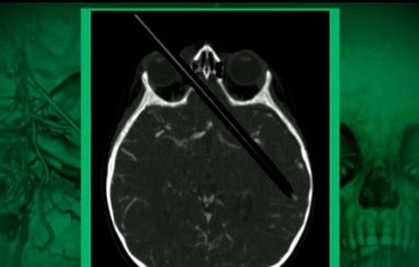
Афганец чудом прожил 15 лет с карандашом, торчащим из головы
0
31 мая 2013
Происшествия
В США самолет врезался в жилой дом: пострадали двое
0
31 мая 2013
Происшествия
В США инженеры придумали новый способ охлаждать пиво
0
31 мая 2013
Происшествия
В Канаде рухнул вертолет скорой помощи: погибли четыре человека
0
31 мая 2013
Происшествия
Школьница сменила фамилию одноклассника на "Онанист" и села в тюрьму
0
31 мая 2013
Происшествия
В Греции во время выпуска новостей показали порнофильм
0
31 мая 2013
Происшествия
В Айове вывели "плюшевых" коров
0
31 мая 2013
Происшествия
В Киргизии беспорядки: власть ввела чрезвычайное положение
0
31 мая 2013
Происшествия
В Индии пассажирский поезд врезался в стадо слонов: погибло две слонихи и слоненок
1
....
476
477
478
479
480
481
482
....
1100
Читать
На украинском
На русском
Этот веб-сайт использует cookies для улучшения взаимодействия с пользователем при посещении веб-сайта. Использование веб-сайта означает согласие с его
политикой cookies
Согласен
Подробнее